Unknown Case
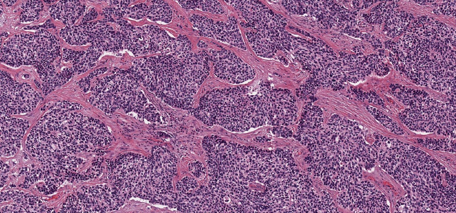
Case: AbdominalMass
Specials to Order:
Final Diagnosis: