Unknown Case
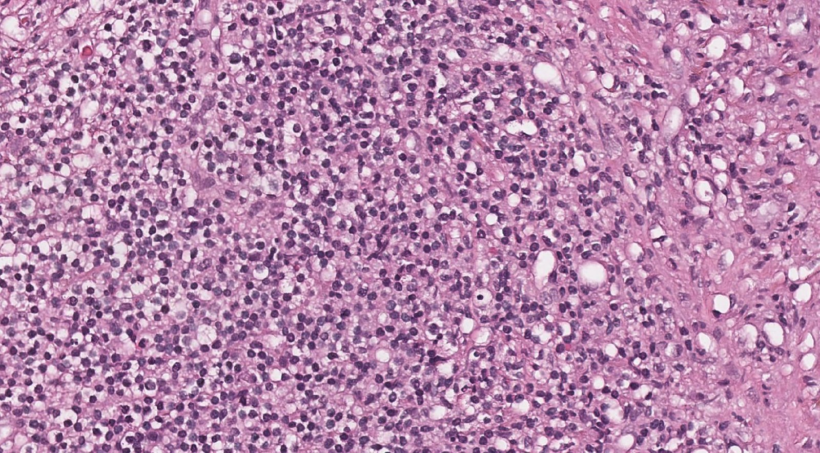
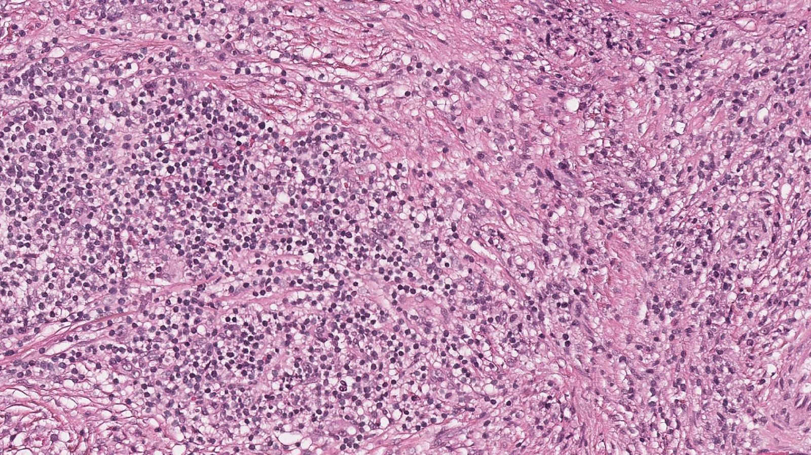
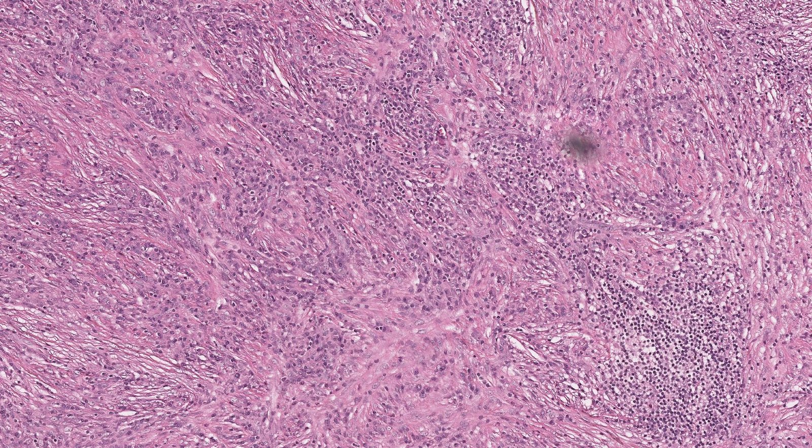
Case: LungMass
Specials to Order:
Final Diagnosis: