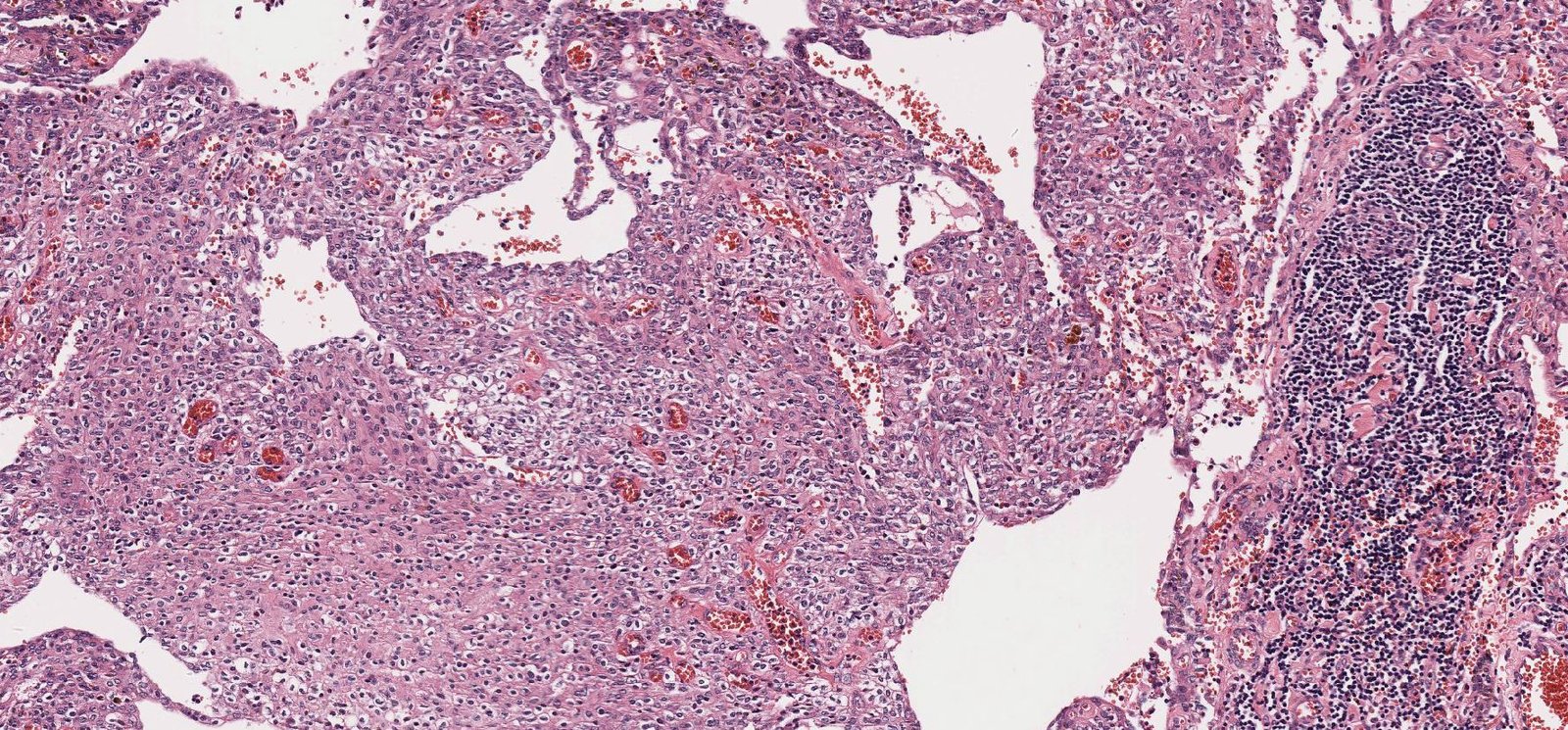
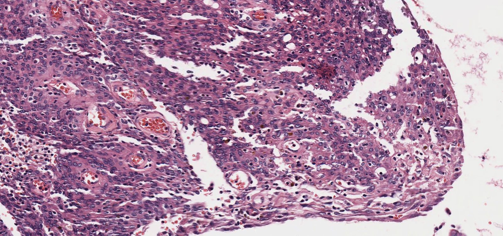
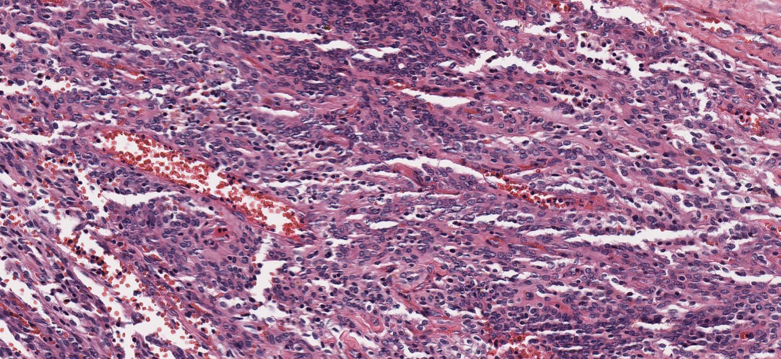
Unknown Case
Case: NeckMass
Specials to Order:
Final Diagnosis: