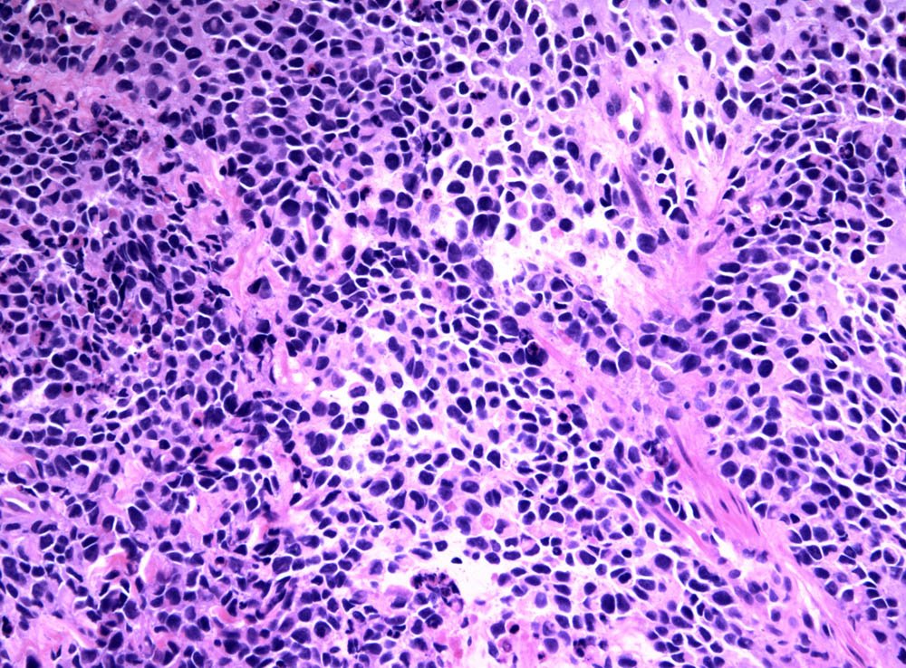
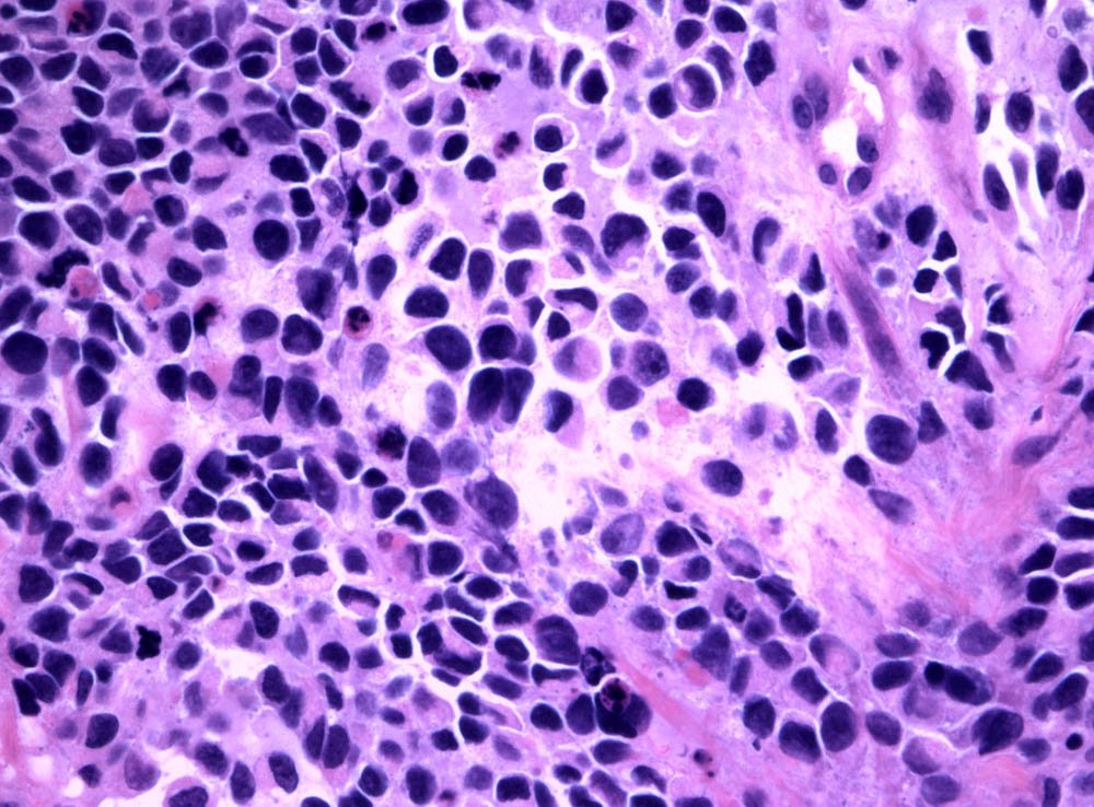
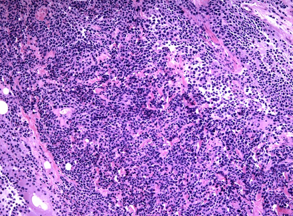
Unknown Case
Case: ProstateMass
Specials to Order:
Final Diagnosis: