Unknown Case
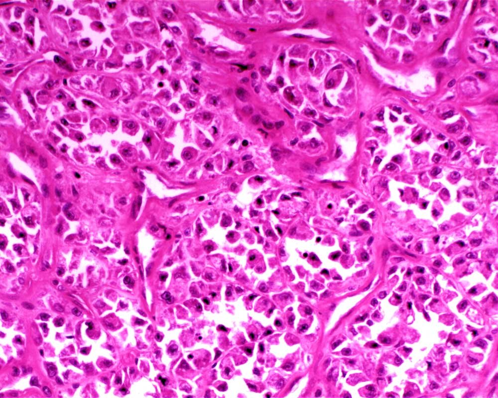
Case: ThighMass
Specials to Order:
Final Diagnosis: