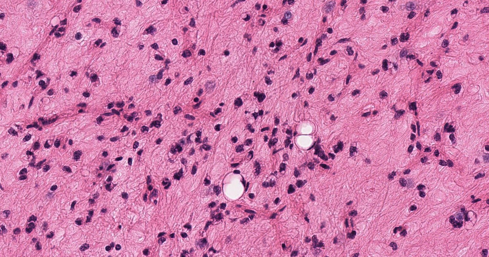
Unknown Case Case: ThighMass2