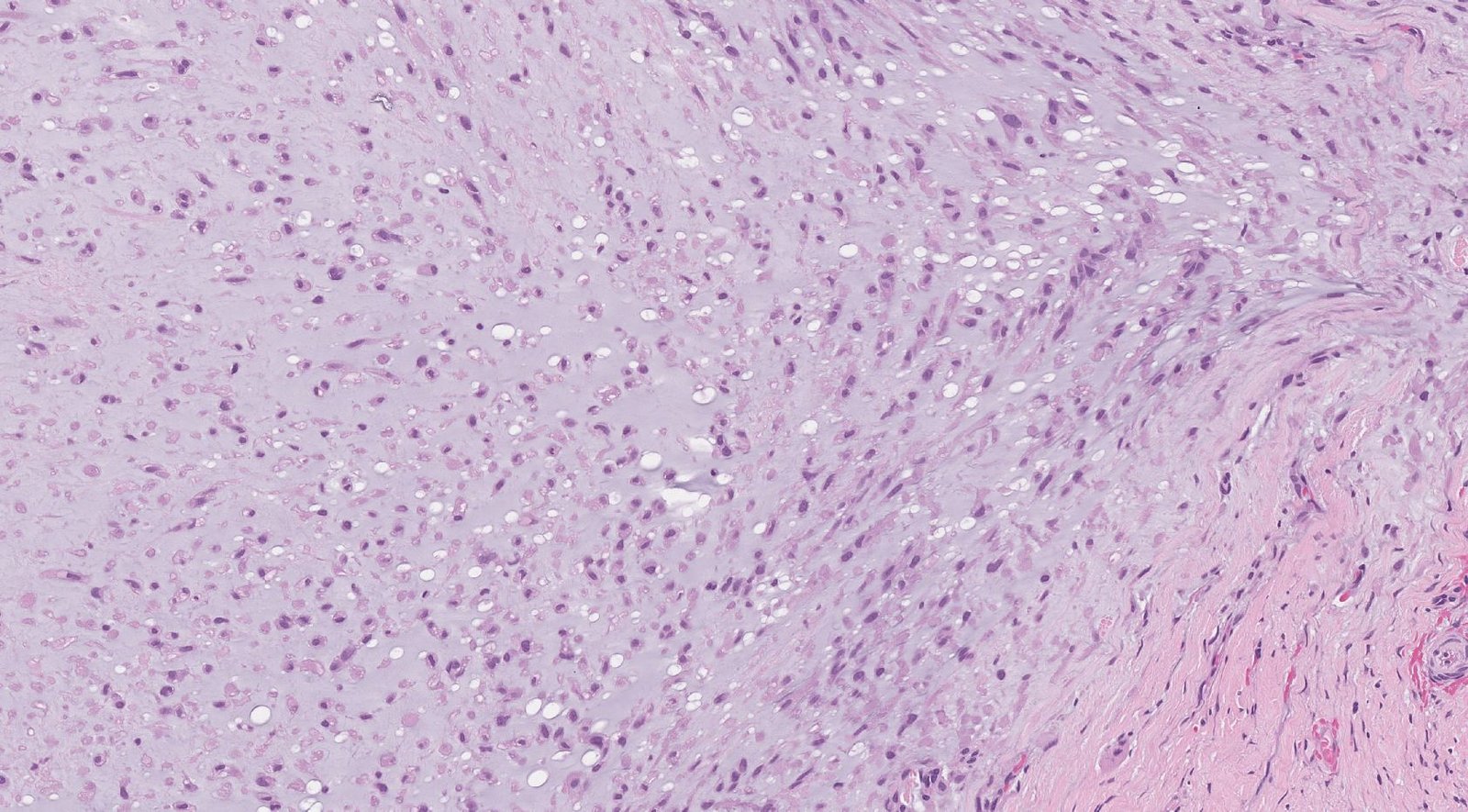
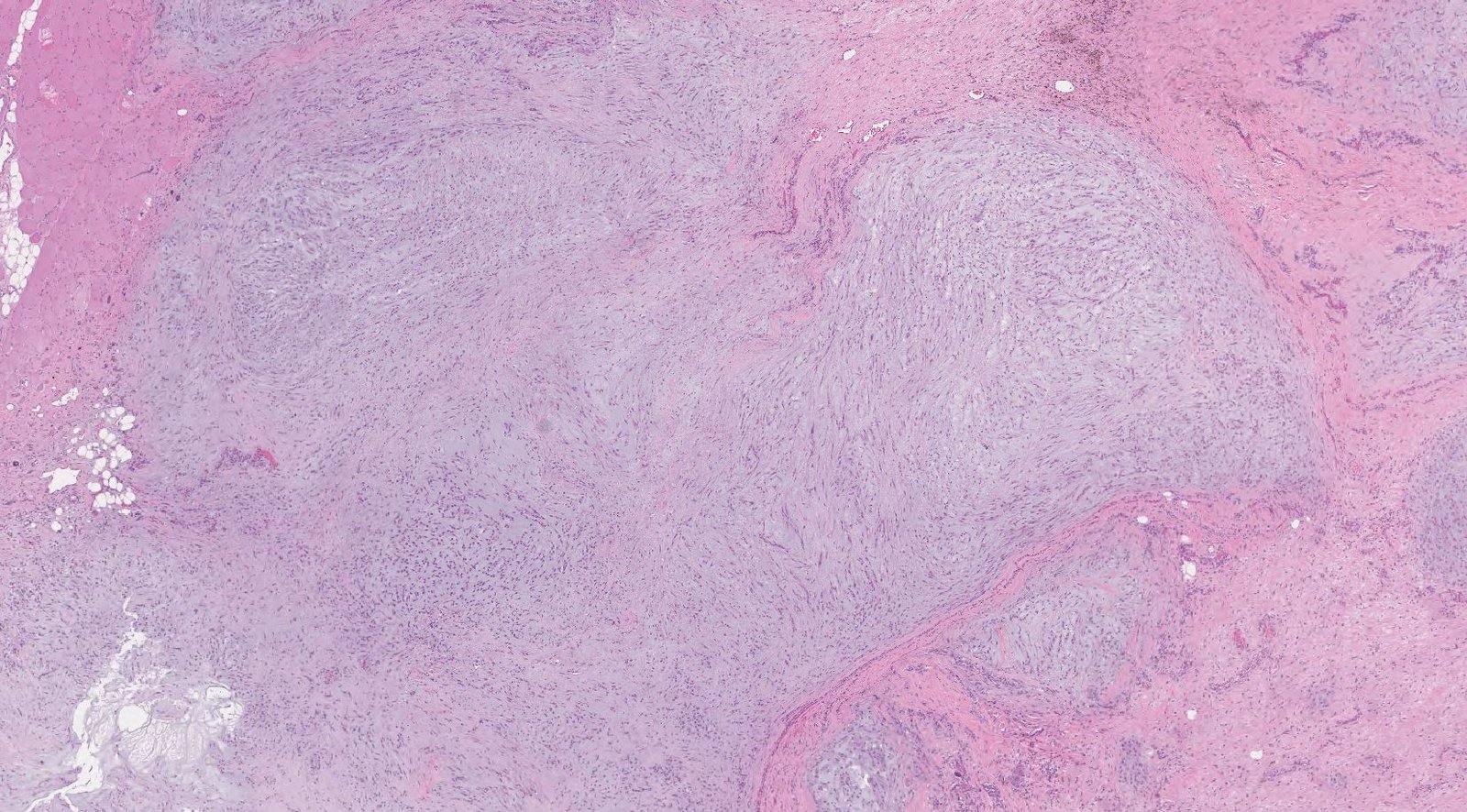
Unknown Case
Case: ThighMass4
Specials to Order:
Final Diagnosis: