Unknown Case
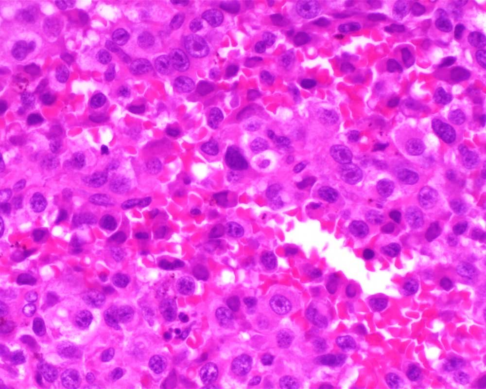
Case: BronchialMass
Specials to Order:
Final Diagnosis: